2518 จำนวนผู้เข้าชม |
 
                    จากศึกษาพบว่าสารสกัดช่วยป้องกันระดับคอเลสเตอรอลและไตรกลีเซอไรด์ ที่เพิ่มขึ้นในหนูที่กินอาหารที่มีไขมันสูง นอกจากนี้ยังช่วยลดการเกิดปฏิกิริยาออกซิเดชั่นของลิปิด และการผลิตไนตริกออกไซด์ ซึ่งควบคุมโดยสารสกัดจากมะขามแขกในหนูที่กินอาหารไขมันสูง โดยเพิ่ม
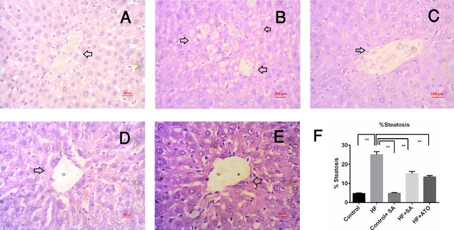
ในเยื่อตับของหนู ตัวอย่างที่เปื้อนสีแดงนั้น แสดงถึงหลักฐานเพิ่มเติมว่ามะขามแขกช่วยป้องกันการแทรกซึมการอักเสบในเซลล์ การสะสมของหยดไขมัน และการเกิดพังผืดในตับของหนูที่กินอาหารที่มีไขมันสูง นอกจากนี้สารสกัดสามารถควบคุมโรคไขมันพอกตับ ดังนั้นสารสกัดจากใบมะขามแขกมีคุณสมบัติในการยับยั้งการอักเสบของไขมันในตับและการเกิดพังผืด  ซึ่งชี้ให้เห็นประโยชน์ในการรักษาภาวะไขมันพอกตับอักเสบ 
 

 
ภาพที่ 1 แสดงผลจากสารสกัดของใบมะขามแขก ต่อการสะสมไขมันในตับของหนูที่ได้รับอาหารไขมันสูง A คือกลุ่มควบคุม , B คือ กลุ่มที่ให้อาหารที่มีไขมันสูง ,C คือกลุ่มที่ได้รับการรักษาด้วย 1% food, w/w of S. alexandrina leaf powder , D คือกลุ่มที่ได้รับอาหารไขมันสูงและ 1% food, w/w of S. alexandrina leaf powder , E คือกลุ่มที่ได้รับอาหารไขมันสูงกับ 10 mg/kg of atorvastatin , F คือ % ไขมันพอกตับที่กำลังขยาย 40x
 

 
ภาพที่ 2 แสดงผลจากสารสกัดของใบมะขามแขก ต่อการเกิดพังผืดในตับของหนูที่กินอาหารที่มีไขมันสูง A คือกลุ่มควบคุม , B คือ กลุ่มที่ให้อาหารที่มีไขมันสูง ,C  คือกลุ่มที่ได้รับการรักษาด้วย 1% food, w/w of  S. alexandrina leaf powder , D  คือกลุ่มที่ได้รับอาหารไขมันสูงและ 1% food, w/w of  S. alexandrina leaf powder ,  E คือกลุ่มที่ได้รับอาหารไขมันสูงกับ 10 mg/kg of atorvastatin ,  F  คือ % ไขมันพอกตับที่กำลังขยาย 40x
การตรวจสอบเผยให้เห็นถึงประโยชน์จากสารสกัดของใบมะขามแขกในหนูที่ได้รับอาหารที่มีไขมันสูง และการใช้มะขามแขกในระยะยาวอาจมีผลเสียซึ่งส่วนใหญ่เกี่ยวข้องกับฤทธิ์เป็นยาระบาย นอกจากนี้สารสกัดจากใบมะขามแขกในหนูที่ควบคุมและไม่พบอาการที่ไม่พึ่งประสงค์ในแง่ของการทำงานของตับ อีกทั้งสารสกัดดังกล่าวทำให้น้ำหนักตัวของหนูกลุ่มควบคุมยังลดลง ซึ่งเป็นผลมาจากการสะสมไขมันที่ลดลงในหนูกลุ่มควบคุม